Lesiones del Ligamento Colateral Cubital del Pulgar: Más que lesión de Stener
Detalles anatomopatológicos del ligamento colateral cubital en el pulgar y sus presentaciones
TM Bastián Muñoz / TM Elizabeth Vidal / TM Cristian Moya
Introducción
La articulación metacarpofalángica (MTC-F) del pulgar frecuentemente recibe lesiones y por consiguiente el ligamento colateral cubital (LCC), en donde la importancia de la correcta visualización y demostración de sus afecciones puede cambiar el diagnóstico y tratamiento del paciente, pasando de un tratamiento no invasivo a un tratamiento quirúrgico en el caso de lesión de Stener.
Anatomía
Anatómicamente la articulación está compuesta por una placa palmar y por ligamentos colaterales. Los ligamentos colaterales radial y cubital, van a estabilizar la articulación. El ligamento colateral se compone de dos porciones una propia y otra accesoria. La porción propia evita la desviación lateral en la flexión y la accesoria la desviación frontal en la extensión. El LCC en particular posee estrecha relación con la aponeurosis dorsal del musculo aductor del pulgar dado que es recubierto por este.
Mecanismo de lesión
Las lesiones de LCC se producen por la hiperextensión o abducción especialmente en caídas, siendo frecuentes en personas que realizan actividades como esquí o skate. La patología tiende a recibir el nombre; “dedo de esquiador”.
Se caracteriza clínicamente por el dolor al movimiento del pulgar, puede tener eritema o inestabilidad de la articulación como también dolor al agarrar objetos utilizando el dedo pulgar.
Esguince del LCC
Ecográficamente el ligamento LCC en un esguince se verá:
· Engrosado.
· Hipoecogénico.
· Heterogéneo
· Con aumento de señal Doppler.
· Puede asociarse a sinovitis MTC-F.
Es de importancia comparar con ligamento contralateral.
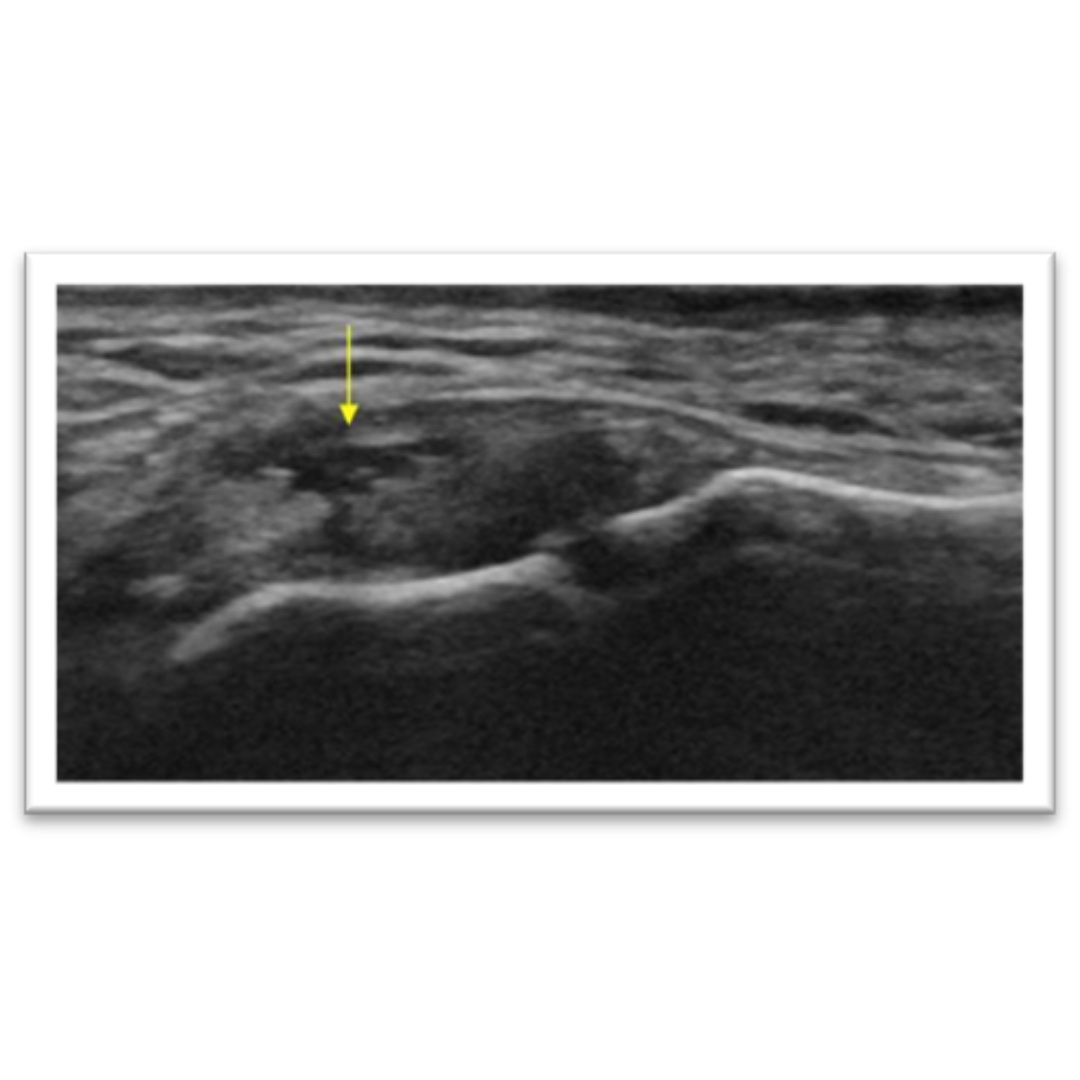
Rotura con avulsión
Se observan los signos de esguince sumado a imagen hiperecogénica puntiforme en porción proximal del ligamento compatible con fragmento óseo de la cabeza del Metacarpo, asociado a área hipoecogénica (flecha amarilla) sugerente de rotura parcial, no se evidencia una retracción significativa del ligamento.
Rotura completa
El ligamento se evidencia con signos de esguince, pero además con un área hipoecogénica que demuestra la perdida de continuidad de sus fibras. Es importante su demostración dinámica con movimientos de flexo-extensión o de hiperabducción demostrando la movilidad de los cabos.
Lesión de Stener
Rotura total del LCC con retracción de cabo proximal que resulta en la interposición de la aponeurosis del músculo aductor corto del pulgar entre el LCC y la art MTC-F. Ecográficamente se visualiza:
· Imagen pseudonodular correspondiente a cabo del ligamento retraído.
· Visualización de la aponeurosis del aductor corto entre la art MTC-F y el cabo del LCC.
· Maniobra dinámica de flexo-extensión comprueba interposición de aponeurosis.
Discusión
Las maniobras dinámicas juegan un papel fundamental para poder caracterizar la patología, demostrar la extensión y clasificar las lesiones del LCC. En el caso de la Lesión de Stener el estudio dinámico es clave para lograr demostrar la interposición de la aponeurosis del M aductor corto del pulgar o bien para descartar esta lesión, ya que la ecografía nos permite evaluar la correcta movilidad de la aponeurosis incluso en casos no patológicos.
Referencias
Melville, D. M., Jacobson, J. A., & Fessell, D. P. (2014). Ultrasound of the Thumb Ulnar Collateral Ligament: Technique and Pathology. American Journal Of Roentgenology, 202(2), W168. https://doi.org/10.2214/ajr.13.11335
Bianchi, S., & Martinoli, C. (2007). Ultrasound of the Musculoskeletal System. Springer Science & Business Media.
Jiménez Díaz, J. F. (2017). Eco Musculoesquelética (1.a ed., Vol. 3).
Maulik S Patel, Radiopaedia. https://radiopaedia.org/cases/171380/play?lang=us