Lesiones benignas simuladoras de Cáncer Mamario: Diagnósticos diferenciales y sus signos ecográficos

TM María Jesús Catalán, TM Elizabeth Vidal, TM Cristian Moya

Introducción

Existe un gran número de lesiones benignas en la mama que pueden “disfrazarse” de malignas. El conocer las características ecográficas, síntomas y signos del paciente, así como sus antecedentes, nos permitirán diferenciarlas de verdaderos casos malignos, evitando el estudio histopatológico. Sin embargo, en algunos casos este paso será imposible de evitar.

Tumor Filodes

Procede del estroma mamario intralobulillar y se compone de tejido conectivo y epitelial. Su presentación más habitual es como un nódulo sólido, palpable, de crecimiento rápido.

  • Al ultrasonido (US): Nódulo bien definido, de contorno liso o lobulado, ligeramente hipoecogénico, de aspecto sólido con buena transmisión posterior del sonido. Su interior se puede observar homogéneo o heterogéneo por degeneración quística, hemorragia o necrosis.

  • Diagnostico Diferencial (DD): Tumor filodes maligno es de rápido crecimiento con bordes irregulares y aumento de la señal al Doppler.

Imagen 1: Dos diferentes casos de tumor filodes

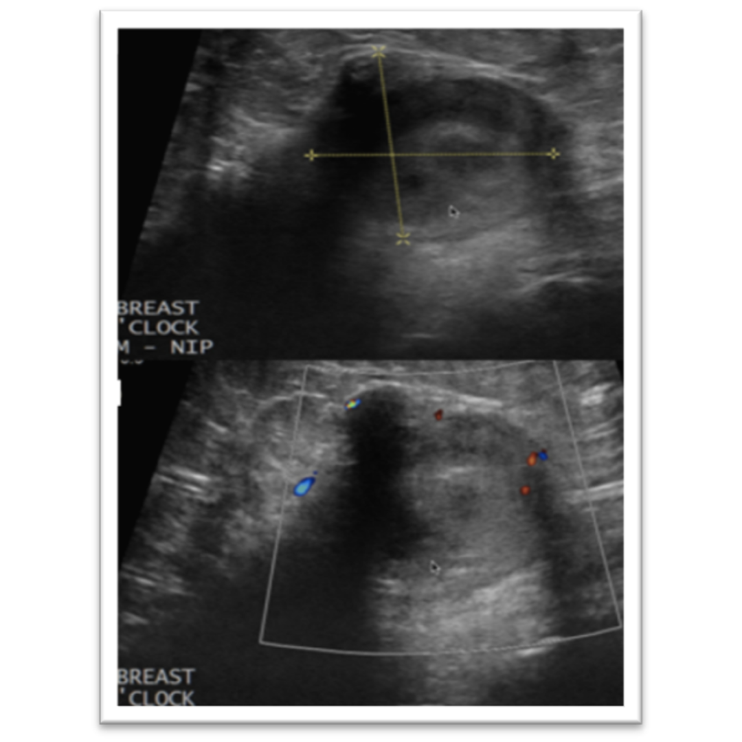
Adenoma del Pezón

Se origina en los ductos del pezón y se manifiesta por telorrea, prurito, eritema, erosión o nodularidad, puede ser asintomático también.

  • Al US: masa lobulada u oval, homogénea, iso o hipoecogénica en el pezón, con incremento en la vascularidad en Doppler.

  • DD: carcinoma ductal, en casos sospechosos se realiza biopsia para determinar atipia de la lesión.

Imagen 2: Se observan en la región retroareolar derecha dos nódulos sólidos intraductales de 2 y 6 mm, que muestran vascularidad periférica a la aplicación Doppler color.

Adenosis Esclerosante

Es una lesión proliferativa más frecuente en la perimenopausia, se presenta como mastalgia inespecífica e incluso como un bulto palpable. Es hallazgo incidental.

  • Al US: imagen nodular de morfología irregular, no paralela, puede generar tenue sombra acústica posterior.

  • DD: lesión altamente sospechosa de malignidad al tener características ecográficas de malignidad, comúnmente se necesita una biopsia para confirmar o descartar diagnóstico.

Imagen 3: Imagen nodular de morfología irregular que genera leve sombra acústica posterior, clasificada como BI-RADS 4b.

Galactocele

Se origina por obstrucción de conducto excretor de leche.

  • Al US: es variable pueden ser desde ovalados, circunscritos, hipoecogénicos, heterogéneos, sin características posteriores hasta irregulares, no circunscritos, hiperecogénicos, sólidos, con refuerzo o sombra posterior, etc.

  • DD: al tener presentación variable puede llegar a confundirse con una lesión sugestiva de malignidad, en esos casos se necesita una punción aspirativa con aguja fina (PAAF), para determinar el contenido de la lesión.

Imagen 4: Colección hipoecogénica bien delimitada con contenido móvil ecogénico espeso y vascularización ausente en la exploración Doppler, dentro de la mama lactante que mostraba conductos retro y periareolares prominentes. La aspiración reveló un líquido lechoso.

Mastitis Granulomatosa

Enfermedad inflamatoria crónica benigna de etiología desconocida y generalmente es un diagnóstico de exclusión. Comúnmente se presenta como masa dolorosa unilateral, acompañada de edema cutáneo y/o eritema.

  • Al US: es variable, es más frecuente una gran masa hipoecogénica heterogénea irregular con múltiples extensiones tubulares, mayormente paralela, en ocasiones masas lobuladas o irregulares o incluso circunscrita hipoecogénica, también puede o no tener características posteriores. También puede tener señal al Doppler por el proceso inflamatorio y engrosamiento de la piel.

  • DD: carcinoma inflamatorio, al diagnosticarse por exclusión debe ser estudiada bajo histopatología.

Imagen 5: US de mama izquierda que evidencia una formación mixta sólido-quística con extensión ductal.

Cicatriz Radiada

Antes conocida como esclerosis papilar proliferativa, epiteliosis infiltrativa o lesión esclerosante encapsulada. Es una lesión proliferativa con fibroelastosis central y apariencia espiculada radiográfica e histológicamente.

  • Al US: distorsión de la arquitectura sin nódulo asociado, ecoestructura heterogénea y sombra acústica posterior; si se detecta nódulo espiculado se asocia con mayor malignidad.

  • DD: carcinoma invasor o intraductal, son lesiones que se clasifican como BI-RADS 4 por lo que se estudian mediante biopsia.

Imagen 6: B: distorsión de la arquitectura con espículas radiadas largas que confluyen centralmente. C: zona de distorsión de la arquitectura retroareolar.

Hematomas

Son colecciones de sangre que se forman como resultado de una hemorragia en el espesor del tejido, generalmente como consecuencia de un traumatismo. Se presentan como tumoración mamaria post traumatismo y comúnmente se asocia a equimosis.

  • Al US: se pueden observar cómo colecciones líquidas hipoecogénicas, colecciones quísticas complejas y heterogéneas e incluso como masas sólidas.

  • DD: sangrado intratumoral, es necesario biopsia para descartar que sea producto de una neoplasia mamaria maligna.

Imagen 7: Las imágenes muestran una masa heterogénea y no circunscrita, con refuerzo acústico posterior. La imagen B muestra el flujo Doppler en periferia.

Mastopatía Diabética

Aparece en aproximadamente en el 13% de las diabéticas insulinodependientes de larga data. Es una lesión mamaria fibroinflamatoria, su causa es desconocida.

  • Al US: presencia de nódulos o áreas nodulares sólidas irregulares, mal definidas, con importante atenuación acústica posterior

  • DD: puede simular carcinomas lobulares. Para diferenciar es común la evaluación por resonancia nuclear magnética (RNM), y posteriormente realizar biopsia.

Imagen 8: Ecografía con área heterogénea sólida hipoecogénica en CSE de mama izquierda de 20 mm.

Necrosis Grasa

Proceso inflamatorio y no supurativo que se origina por una lipolisis. Su sintomatología es diversa desde mastodinia, aumento de volumen, alteraciones en la piel, etc. Comúnmente es producto de un traumatismo o intervención quirúrgica.

  • Al US: su apariencia es variable, puede ser similar a un quiste complejo, con particulado interno, niveles grasa-líquido y calcificaciones en suspensión o en la pared, pero también puede presentarse como una lesión sólida con sombra acústica posterior.

  • DD: cuando se presenta como una lesión sólida, puede impresionar maligna, en esos casos se recomienda estudiar histopatológicamente.

Imagen 9 y 10: Ejemplos de necrosis grasa.

Hiperplasia Atípica

Es la acumulación en los conductos y lóbulos mamarios de células atípicas, es un factor de riesgo para desarrollar cáncer.

  • Al US: no tiene un patrón propio, cuando se halla en la zona central de la mama puede observarse una alteración difusa e inespecífica de la unidad funcional, ductos y Unidad Ducto- Lobulillar Terminal (UDLT), y ocasionalmente, se pueden visualizar directa o indirectamente microcalcificaciones.

  • DD: carcinoma, es necesario confirmar hipótesis diagnóstica con biopsia.

Imagen 11: A y B Lesión hipoecogénica de margen irregular y orientación antiparalela, que en la mamografía se corresponde con una densidad focal asimétrica en CSE, con diagnóstico de hiperplasia ductal atípica. C y D masa ovalada, hipoecogénica de margen angulado, que en mamografía se asociaba a microcalcificaciones pleomórficas, con diagnóstico de hiperplasia ductal atípica.

Discusión

La caracterización y conocer el diagnóstico diferencial de estas lesiones atípicas es importante para apoyar en el manejo clínico, considerando que son lesiones que tienen características malignas e incluso algunas de ellas, como es el caso de la hiperplasia atípica, pueden progresar a lesiones malignas. El rol del ultrasonido es en muchos casos realizar seguimiento estricto de la imagen y en otros evitar el estudio histopatológico.

Referencias

Tamayo, E., Cornelio, G., Ortiz, M. & Rodríguez, A. (2020). Cicatriz radial, lesión proliferativa benigna de la mama. Acta Med Número 2. DOI: 10.35366/9390

  • Barco-Manrique, J., Jaramillo, N., Ochoa-vera, M., et.al. (2021). Mastitis granulomatosa: un reto radiológico. Revista chilena de radiología vol. 27 no.3. DOI: 10.24875/RCHRAD.M210000002

  • Hernanz, A., Lobato, J., Sánchez, M., et.al. (2014). Hematoma de mama que simula un cáncer y cáncer de mama que debuta con hematoma.Elsevier. Vol. 41. Núm. 2. Páginas 83-85. DOI: 10.1016/j.gine.2013.05.002

  • Stavros. (2006). Ecografia de Mama. A. Thomas Stavros, Editorial Marbán Libros.

  • Sales, J., Blanc, E., Medina, R., et.al. (s.f.). Ecografía con contraste intravenoso en la patología mamaria aguda no tumoral. Seram.

  • Mysler, D., Sarquis, F., Castro, M., et.al. (2009). Imágenes en mastopatía diabética. Revista Chilena de Radiología Vol.15 no.4

  • Acevedo, D., López, Y., Pascual, C., et.al. (s.f.). Correlación radio-patológica y seguimiento de las lesiones mamarias histológicas de alto riesgo en nuestro hospital. Seram.

  • Lanfranchi, M. & Gori, R.E. (2020). Eco de mama. Marbán. ISBN:978-84-18068-02-7

  • Gutiérrez, A., Sánchez, D., Fernández, A., et.al. (s.f.). Hallazgos radiológicos de la necrosis grasa de la mama: un atlas. Seram.

  • Adel, R. (s.f.). Galactocele. Radiopaedia.org. Recuperado de: https://radiopaedia.org/cases/galactocele-8#image-61296113

  • Tcholakia, L., Barbi, M. (s.f.)- Falsos positivos de la ecografía mamaria. Diagnóstico Rojas N° 524.

  • Dávila-Zablah, Y., Barrios-Ruiz, A., Gómez-Macías, G., et. al. (2019). Adenoma del pezón: reporte de un caso. Anales de Radiología México.

Anterior
Anterior

Nódulos Tiroideos Degenerativos: Evaluación Ecográfica

Siguiente
Siguiente

Lesiones del Ligamento Colateral Cubital del Pulgar: Más que lesión de Stener