Nódulos Tiroideos Degenerativos: Evaluación Ecográfica

TM Scarlette Contreras - TM Cristian Moya - TM Elizabeth Vidal

Resumen

Los nódulos degenerativos (ND) son de complejo diagnóstico, requieren experiencia ecográfica y también conocer acabadamente los antecedentes e historia clínica del paciente, por lo que contar con estudios anteriores es fundamental. Los ND son un desafío, ya que presentan hallazgos ecográficos sospechosos. En las punciones con aguja fina (PAAF), los resultados obtenidos son variados, desde benignidad, atipia de significado incierto hasta resultados no diagnósticos, aumentado así la repetición de biopsias o cirugías por resultados inciertos.

Introducción

Los nódulos degenerativos (ND) pueden ser:

  • Nódulos quísticos o predominantemente quísticos: donde su porción quística puede ser absorbida y/o desecada generando la una reducción de tamaño.

  • Nódulos sólidos: sufren hemorragias o trombosis que pueden ser inducidas posterior a biopsias o espontáneas. Este suministro sanguíneo deficiente (por trombosis o hematoma post hemorragia) lleva más tarde a un proceso de degradación y reducción de tamaño.

Bajo ecografía, los ND pueden presentar características sospechosas que son necesarias de diferenciar de nódulos malignos, para evitar una PAAF que muchas veces no será categórica.

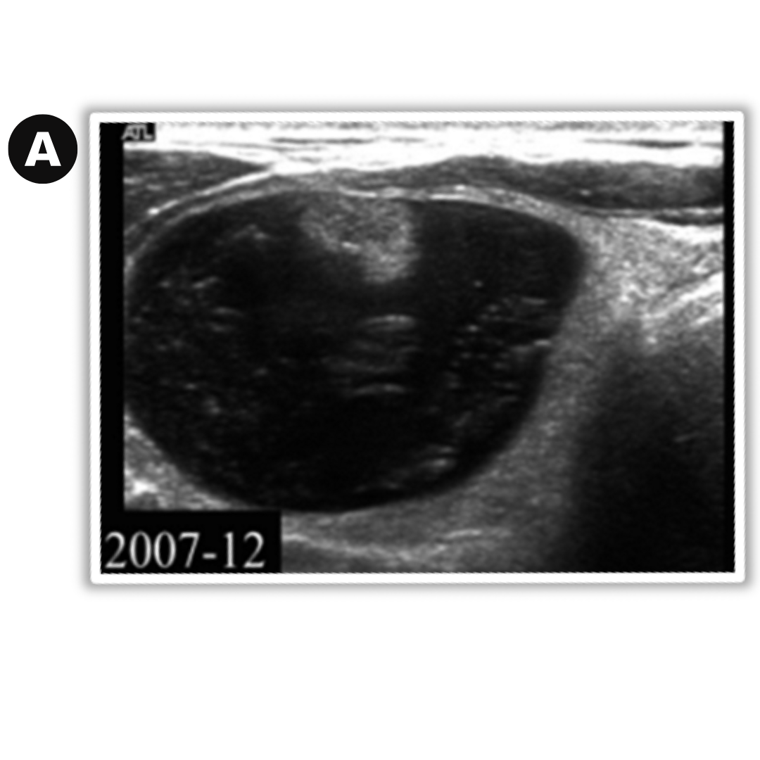
Caso 01: Nódulo en control a) diciembre 2007 nódulo coloideo predominantemente quístico b) diciembre 2010 nódulo en degeneración, muestra un nódulo sólido hipoecoico con focos ecogénicos.

Desarrollo

Es recomendable realizar ecografías de control para evidenciar los diferentes cambios que muestran los nódulos degenerativos, y disminuir la repetición de biopsias o cirugías por resultados poco concluyentes.

Se ha demostrado que, en ecografía los ND:

  • Son nódulos quísticos o predominantemente quísticos, que pierden su porción quística reduciendo su tamaño y quedando sólo su porción sólida visible.

  • Aumentan la detección de características sospechosas, como la hipoecogenicidad por la fibrosis, debido a la reducción de tamaño, y los márgenes espiculados, por el colapso o distorsión capsular.

  • En ellos, aumenta la presencia de micro y macro calcificaciones, con la reducción del tamaño nodular.

  • Pueden presentar forma más alta que ancha en ultrasonido, lo que se relaciona con una tracción fibrosa asimétrica por su degeneración.

  • Pueden presentar un borde isoecogénico continuo y fino, que abarca más de la mitad del nódulo (que corresponde a la pared del nódulo quístico previo a la degeneración), o un halo hipoecogénico.

  • Pueden presentar sombra acústica posterior, asociada a una interfaz desigual, debido a encapsulamiento o fibrosis periférica.

Caso 02: a) Nódulo solido heterogéneo con halo hipoecogénico. b) control a los 3 años siguientes, evidenciando una disminución notoria en su tamaño.

Caso 03: Seguimiento de un nódulo sólido, hipoecogénico, con imágenes hiperecogénicas en su interior. a) inicial b) 4 meses después c) 6 meses después, evidenciando una disminución progresiva de su tamaño.

Recomendaciones

Es posible minimizar los procedimientos innecesarios para los pacientes tomando en cuenta algunas recomendaciones:

  • Se recomienda primero una ecografía de seguimiento para establecer si existen cambios en el nódulo.

  • En el caso de no contar con imágenes previas, o que en los controles posteriores el nódulo siga siendo altamente sospechoso, se debe recomendar una biopsia.

  • La PAAF puede ser la primera opción, pero los ND tienden a presentar resultados benignos, atipia de significado indeterminado, o resultados no diagnósticos.

  • En casos de resultados inciertos en la PAAF se recomienda realizar una biopsia con aguja gruesa, en lugar de repetir la PAAF, para evitar una cirugía innecesaria ante otro resultado incierto.

Discusión

El aporte de exámenes previos y antecedentes clínicos son fundamentales para evitar un estudio histológico, también es importante relacionar la edad del paciente. Se entiende que pacientes mayores a 40 años tienen mayor probabilidad de presentar ND que los pacientes jóvenes. El antecedente de punción previa aumenta la probabilidad de encontrar ND. Además, el seguimiento ecográfico visualizando detalladamente los exámenes previos, sumado al conocimiento ecográfico podrían ser de gran aporte en los pacientes.

Referencias

Ren J, Baek JH, Chung SR, Choi YJ, Jung CK, Lee JH. Nódulos tiroideos degenerativos: diagnóstico por ultrasonido, importancia clínica y tratamiento. Korean J Radiol. 2019 junio;20(6):947-955. https://doi.org/10.3348/kjr.2018.0599

López García, M. D. C., Alfaro Martínez, J. J., García Angel, R. D., López Martínez, L. M., & Sirvent Segovia, A. E. (2020). Infarto hemorrágico espontáneo de nódulo tiroideo. Journal of Negative and No Positive Results, 5(9), 1059-1062. https://dx.doi.org/10.19230/jonnpr.3505

Anterior
Anterior

Estenosis de Arteria Carótida Interna: Mediciones Ecográficas Recomendadas

Siguiente
Siguiente

Lesiones benignas simuladoras de Cáncer Mamario: Diagnósticos diferenciales y sus signos ecográficos