Anatomía Ecográfica Muscular de Pared Torácica: lo que la Ecografista Mamaria debe saber


TM María Jesús Catalán, TM Elizabeth Vidal, TM Cristian Moya

Objetivo

El objetivo docente es realizar revisión anatómica principalmente muscular de la pared torácica de aquellos músculos que se encuentran adyacente a la zona mamaria. Cuando se realiza una ecografía mamaria los profesionales ecografistas deben reconocer las estructuras vecinas de la pared torácica para enfrentar casos como; ginecomastia, pacientes que consultan por mastalgia asociada trauma o pacientes que acuden con sintomatología muscular, donde se debe descartar la presencia de fracturas cercanas a la región mamaria.

Imagen 1: Principales músculos a conocer: pectoral, trapecio, dorsal ancho, romboides y serrato.

Revisión del tema

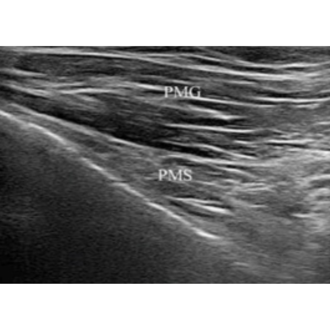
MÚSCULO PECTORAL MAYOR Y MENOR

Músculo grueso, en disposición de abanico/triangular, delante de pectoral menor y entre ambos tienen un trayecto perpendicular.

Origen: MúsculoPectoral mayor:2/3 mediales clavícula, desde la 1ra a la 6ta articulación esternocostal y vaina anterior de músculos rectos del abdomen. Musculo pectoral menor: cara anterolateral desde 3ra a 5ta costilla.

Inserción: Musculo pectoral mayor: cresta subtroquiteriana de forma cruzada. Musculo pectoral menor: apófisis coracoides.

Imagen 2: Corte transversal. : músculo pectoral mayor(PMG) y músculo pectoral meno (PMS)

MúSCULO TRAPECIO

Músculo de gran tamaño que se ubica en la cara posterior torácica.

Origen: línea nucal superior, protuberancia occipital externa, ligamento nucal, apófisis. Espinosas y ligamento Supraespinosos (C3-T12).

Inserción: tercio lateral clavícula, acromion y borde medial de espina escapular.

Imagen 3: Desde superficial a profundo: piel-subcutáneo-trapecio-supraespinoso-escápula.

MÚSCULO DORSAL ANCHO

Es el más ancho del cuerpo, se extiende por casi toda la superficie del dorso.

Origen: Ángulo inferior. Escapular, apófisis. Espinosas (T7-T12), costillas (9na-12va) y cresta iliaca

Inserción: Surco intertubercular del húmero

Imagen 4: Corte longitudinal. LMD: músculo dorsal ancho

MÚSCULO ROMBOIDES MAYOR Y MENOR

Son más pequeños que los ya mencionados y de forma cuadrangular. Ubicados entre columna vertebral y borde medial escapular.

Origen: Músculo romboides mayor: apófisis. espinosas (T2-T5). Musculo romboides menor: ligamento. Nucal y apófisis. espinosas (C7-T1)

Inserción: Borde medial escapular Musculo romboides mayor: por debajo de espina escapular. Musculo romboides menor: por encima de espina escapular.

Imagen 5: Los romboides se pueden encontrar entre la columna vertebral y el borde medial de la escápula bajo el trapecio. De superficial a profundo: piel - tejido celular subcutáneo – trapecio – romboide.

MÚSCULOS INTERCOSTALES INTERNO Y EXTERNO

Son 11 pares de músculos que se encuentran ubicados entre las costillas.

Origen: Interno: surco costal de la costilla. Externo: borde caudal externo de la costilla

Inserción: Interno: borde superior de la costilla inferior. Externo: borde craneal externo de la costilla subyacente.

Imagen 6: Corte longitudinal al cuerpo pero transversal a las costillas 6ta y 7ma. IE: intercostal externo. II: intercostal interno. Flechas pequeñas indican línea pleuropulmonar.

MÚSCULO SERRATO ANTERIOR Y POSTERIOR

Ubicados en la pared torácica anterior hacia lateral, pero existe también un grupo ubicado por posterior -superior entre la columna y la escápula, un grupo inferior entre la columna y las costillas inferiores.

Origen: Anterior: fascia intercostal (costillas 1 a 8/9). Posterior: por superior en vértebras cervicales y por inferior torácicas inferiores.

Inserción: Anterior: escápula. Posterior: costillas superiores e inferiores.

Imagen 7: A) Visión anterior musculo Serrato(S), Músculo pectoral mayor(Pma), musculo pectoral menor (Pme) B) región costal anterior de superficial a profundo: piel – tejido subcutáneo – pectoral mayor – pectoral menor – serrato anterior – costillas – pleura pulmonar

Cabe mencionar que existen bastantes músculos en la pared torácica, pero no todos se logran evaluar ecográficamente de forma clara y sencilla como son los músculos: infraclavicular, transverso del tórax y elevador de la escápula. Otros como el músculo supraespinoso e infraespinoso en la escápula también se pueden visualizar durante el estudio hacia craneal y a caudal de la espina escapular, respectivamente.

Conclusión

Conocer la inserción y planos musculares que se encuentran cercanos a la región mamaria es relevante para lograr caracterizar lesiones, describir detalladamente su ubicación y es un conocimiento necesario para aquellos profesionales especialistas en ecografía mamaria que no realizan ecografía musculoesquelética, pero que día a día se ven enfrentados a casos donde los pacientes señalan sintomatología profunda o adyacente a la mama.

Referencias

  • Smereczynski, A., Kolaczyk, K. & Bernatowicz, E. (2017). Chest Wall – underappreciated structure in sonography. Part I: Examination methodology and ultrasound anatomy. DOI: 10.15557/JoU.2017.0029

  • Ventura, L. (s.f.). Manual de Ecografía Muusculoesquelética. Editorial Panamericana.

  • Torres, P. Blázquez, S, Barcina, E., et al (s.f.). Papel de la imagen (ecográfica y RM) en las lesiones traumáticas del pectoral mayor. SERAM

  • Kenhub. (s.f). Músculo Trapecio. Músculo Serrato Anterior.

  • UGR (s.f.). Pectoral Mayor. Pectoral Menor.

Anterior
Anterior

Carcinoma Papilar Esclerosante Difuso de Tiroides

Siguiente
Siguiente

Estenosis de Arteria Carótida Interna: Mediciones Ecográficas Recomendadas