Hidradenitis Supurativa : Revisión de los hallazgos ecográficos y sus clasificaciones
TM Paz Acosta - TM Elizabeth Vidal
Objetivo
La Hidradenitis supurativa (HS) es una enfermedad inflamatoria crónica y muchas veces de difícil manejo. La inspección visual es limitada y el aporte de los exámenes de imágenes, principalmente del Ultrasonido, es apoyar el diagnóstico para determinar el grado de actividad inflamatoria y evaluar la extensión de la enfermedad. El objetivo de este póster es revisar aquellos hallazgos ecográficos que son relevantes reconocer bajo ecografía y clasificar el estadio de la HS.
Revisión del tema
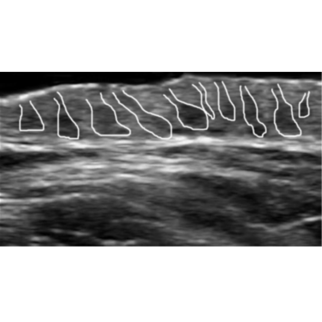
Figura 1: Imagen de ecografía de la región axilar que muestra el ensanchamiento de la parte superior de los folículos pilosos. (Signo de botella de Champagne)
Figura 2: Cambios dérmicos de la Hidradenitis Supurativa.
(*) Engrosamiento e hipoecogenicidad de la dermis
Piel normal: d: dermis h: hipodermis
La HS es una enfermedad que se caracteriza por la aparición de lesiones inflamatorias dolorosas y profundas en áreas corporales donde existen glándulas apocrinas como axilas, región inguinal, y región anogenital. Su prevalencia es de 2 a 5 veces mayor en el sexo femenino, con mayor frecuencia en el rango etario de 20 a 40 años. La HS es considerada una enfermedad de etiología multifactorial y recientemente se ha apoyado el origen de esta enfermedad en el folículo piloso, siendo considerada una enfermedad de oclusión folicular.
El rol de la ecografía en HS es fundamental para apoyar el diagnostico, realizar estadiaje y definir el grado de actividad inflamatoria.
Aporte de la Ecografía
La Ecografía se destaca por ser un examen que aporta imágenes de alta resolución para estructuras más superficiales del cuerpo y capas más profundas.
Permite medir las estructuras en centímetros en su eje largo en el caso de la HS para medir los trayectos fistulosos.
Es necesaria la obtención de imágenes con transductores de alta frecuencia.
El uso de la herramienta Doppler color o Power, aporta en la obtención de información en relación con la vascularización de la lesión y vascularización perilesional.
Visualización de tractos pilosos
Los tractos pilosos se observan como imágenes lineales hiperecogénicas dentro de la colección liquida.
La presencia de componentes de queratina no reabsorbibles en el cuerpo se observa como cuerpo extraño dentro de la HS.
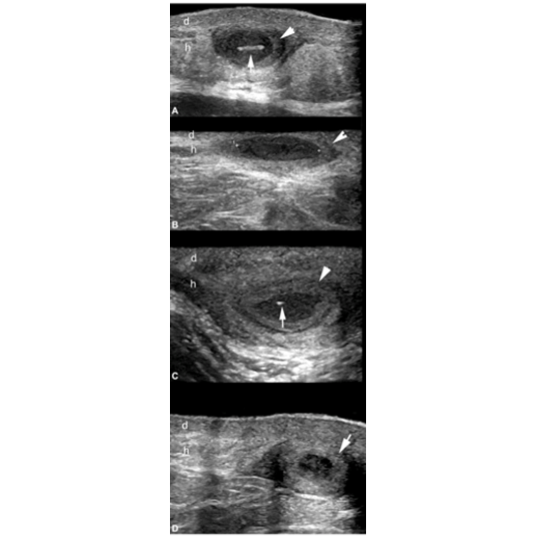
Figura 3: Imágenes de ecografía con apariencia variable de fistula. Se observan conexión de las fistulas con la parte inferior de los folículos pilosos dilatados y los fragmentos lineales hiperecogénicos de tractos pilosos dentro de la fistula.
Figura 4: Hidradenitis supurativa de presentación variable, colecciones de líquido dérmico e hipodérmico. El asterisco señala las colecciones y las puntas de flecha apuntando hacia arriba indican los fragmentos lineales hiperecogénicos de los tractos pilosos dentro de la colección. Las flechas apuntando hacia abajo indican las conexiones entre las colecciones de líquido con los folículos pilosos dérmicos ensanchados.
En la tabla 1 se describen los principales hallazgos ecográficos encontrados en HS y según la cantidad de ellos presentes se establece un grado de gravedad de la enfermedad.
Tabla 1: Criterios Ecográficos para el diagnóstico de Hidradenitis Supurativa
Para el estadiaje se utiliza la clasificación de SOS-HS (sonographic Scoring of Hidradenitis suppurativa) que divide los grados de gravedad en 3. Se describen en tabla 2.
Tabla 2: Estadiaje de gravedad de hidradenitis SOS-HS
La categorización de estas fistulas es principalmente determinado por la presencia de cicatrices fibróticas. La presencia de edema puede revertirse y variar según el nivel de inflamación.
Existe además del estadio la clasificación del trayecto fistuloso descrito en la tabla 3, esta clasificación se basa en el Grado de fibrosis y edema de los trayectos fistulosos. Ecográficamente los grados de fibrosis se observan como halos rodeando las fistulas (figura 8) y el edema se observa rodeando los trayectos fistulosos como áreas hipoecogénicas en la hipodermis ejemplificados en figura 7. El grado de edema también se relaciona con la presencia de vascularización interna de la fistulas (figura 6).
Tabla 3: Clasificación ecográfica de trayectos fistulosos en hidradenitis supurativa.
Figura 5: Hidradenitis supurativa con una inflamación activa. La señal a Power Doppler demuestra un aumento del flujo sanguíneo de la lesión y en la periferia.
La clasificación del grado de edema y fibrosis es relevante para el tratamiento, mientras mayor es la fibrosis más baja será la respuesta a tratamiento sistémico.
Figura 6: Tipos de vascularización de HS. Patrones de trayectos fistuloso (A) periférico, (B) interno. La vascularización interna en B también se encuentra asociada a vascularización periférica. Flecha oblicua: Vascularización periférica, Flecha vertical: Vascularización interna.
Figura 7: A a D de menor a mayor edema. Se muestra la clasificación de Edema hipodérmico (o) adyacente los trayectos de folículos de HS. Se observan imágenes en modo B con campo de visión extendido demostrando el eje largo de las fistulas (*). En D una vista transversal del trayecto fistulosos (*) es mostrado con grado 2 de edema (o). Se observa liquido hipoecoico (puntas de flechas negras) entre los lóbulos grasos en D*.
Figura 8: El signo de halo (flechas) en HS representa trayectos fistulosos con cicatrización fibrótica grado 2. B, C y D muestran diferentes tractos fistulosos con cicatrización fibrosa grado 2. Note el borde hipoecogénico (puntas de flechas oblicuas) rodeando las fístulas. Los fragmentos lineales hiperecogénicos en algunas de las fistulas sugieren fragmento del tracto piloso (flechas verticales en A y C)
Figura 9: Tipos de fístulas de tractos en HS. Clasificación tipo 3 (C) muestra el borde grueso hipoecogénico (punta de flecha), que sugiere cicatrización fibrótica en la periferia del trato fistuloso y el edema (o) del tejido graso hipodérmico en comparación con los tipos anteriores. (o) edema hipodérmico; es un marcador positivo de los bordes del trayecto fistuloso.
Conclusión
Conocer las características ecográficas de la HS nos permitirán reconocerla y diferenciarla de diagnósticos similares como abscesos, quistes epidérmicos complicados, etc. También el demostrar en detalle aspectos ecográficos como el edema adyacente a la fístula, el correcto uso de Power Doppler, el halo fibrótico de las fístula, serán de gran utilidad para el tratante y definirá la conducta terapéutica. Por lo tanto, el conocimiento acabado de los hallazgos ecográficos en modo B como bajo Doppler serán necesarios para que el ecografista pueda realizar un abordaje satisfactorio para los pacientes.
Referencias
Chen X, Guffey DJ. Topical timolol for treatment of persistent granulation tissue in the setting of severe hidradenitis suppurativa. Dermatol Online J. 2019; 25 (11): 13030/qt5fc1c5s5. [ Links ]
Reyes-Baraona, Francisco, Herane, María Isabel, Wortsman, Ximena, Figueroa, Andrés, García-Huidobro, Isidora, Giesen, Laura, Kolbach, Marianne, Molina, María Teresa, Muñoz, Leoncio, Saavedra, Daniela, & Silva-Feistner, Marcos. (2021). Guía clínica chilena para el estudio y tratamiento de hidradenitis supurativa. Resumen ejecutivo. Revista médica de Chile, 149(11), 1620-1635. https://dx.doi.org/10.4067/S0034-98872021001101620
Wortsman, X., Castro, A., & Figueroa, A. (2016). Color Doppler ultrasound assessment of morphology and types of fistulous tracts in hidradenitis suppurativa (HS). Journal of the American Academy of Dermatology, 75(4), 760–767. doi:10.1016/j.jaad.2016.05.009
Ximena Wortsman, Maryland. 2016
Wortsman X, Moreno C, Soto R, Arellano J, Pezo C, Wortsman J. Ultrasound in-depth characterization and staging of hidradenitis suppurativa. Dermatol Surg. 2013; 39 (12): 1835-42. [ Links ]