Daño Hepático Crónico: Hallazgos Ecográficos Importantes en Hepatopatía Crónica Parte I



TM Rebeca Candia - TM Elizabeth Vidal

Objetivo

El Daño Hepático Crónico (DHC) es un problema de salud mundial. Chile no se encuentra exento de esta problemática de salud, por lo que no es infrecuente encontrarnos con una ecografía abdominal donde el paciente padezca DHC; en ocasiones podremos encontrarnos con casos más avanzados y otros de reciente comienzo, por lo que es sumamente importante reconocer todos los hallazgos ecográficos que nos permitan apoyar al diagnóstico o realizar un seguimiento acucioso de la enfermedad. A continuación revisaremos hallazgos ecográficos del DHC.

Revisión del tema

El DHC es una injuria prolongada del hígado, que provoca fibrosis y distorsión de arquitectura por la formación de nódulos. Consta de etapas progresivas que conllevan a una insuficiencia compensada o descompensada.

Causas de DHC

  • DHC alcohólico

  • Esteatohepatitis no alcohólica

  • Hepatitis crónica

  • Enfermedad colestásica crónica

  • Enfermedad metabólica

Figura 1: Signos y síntomas del DHC.

Hallazgos ecográficos del DHC

I) Superficie Irregular Nódulos fibróticos de regeneración

Cuando sospechamos de un DHC es recomendable estudiar el hígado con transductor lineal, para demostrar y estudiar la presencia de nódulos en el parénquima. En casos incipientes, el uso de transductor lineal será fundamental para demostrar las lobulaciones de la cápsula hepática. La superficie hepática se observa heterogénea debido a la presencia de nódulos que pueden tener las siguientes presentaciones:


  • Patrón macronodular, mayor a 1 cm.

  • Patrón micronodular, hasta 1 cm.

  • Hepatocarcinoma: La presencia de una lesión macronodular, de 1 a 2 cm, deben hacernos sospechar de un nódulo neoplásico y requerirá estudios adicionales.


El rol de la ecografía en pacientes con diagnostico en DHC es :

Principalmente pesquisar la presencia de nódulos sospechosos, donde la ecogenicidad no será de ayuda, ya que existe un porcentaje menor de hepatocarcinomas que cursan hiperecogénicos por lo que tendrán ecogenicidad variable. La vascularización también ayudará a diferenciar los nódulos sospechosos de hepatocarcinoma de un nódulo de regeneración, ya que estos últimos no vascularizan al Doppler a diferencia de un hepatocarcinoma que si presentan señal al Doppler.


Además también es labor de la ecografía evidenciar las complicaciones del DHC, evaluar signos del hipertensión portal, valorar la presencia de ascitis, esplenomegalia, etc.

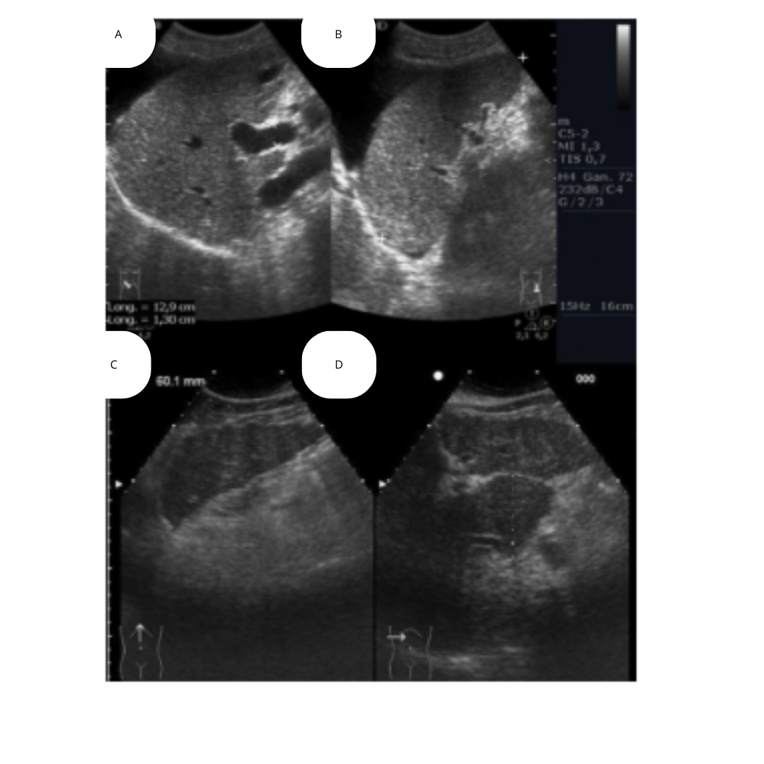
Figura 2: Las imágenes muestran irregularidad de superficie, ascitis y los patrones nodulares.

Figura 3: A.- Dilatación de la porta y ascitis. B.- Esplenomegalia. C.- Lóbulo hepático izquierdo con bordes irregulares. D.- hipertrofia del lóbulo

II) Aumento de Volumen Hepático

Dentro de los hallazgos ecográficos podemos encontrar perdida de los ángulos hepáticos y la redistribución de volumen donde podremos encontrar:

  • Aumento de tamaño del lóbulo caudado ( > 3.5 o 4 cm)

  • Hepatomegalia

  • Atrofia del Lóbulo hepático derecho, principalmente segmento IV.

Figura 4: Medidas para referenciar aumento de volumen hepático

III) Cambios en la Ecogenicidad

  • Por infiltración grasa

  • Aumento de ecogenicidad por fibrosis

  • Ecoestructura heterogénea

Figura 5: Aumento de ecogenicidad del parénquima hepático.

Complicaciones DHC

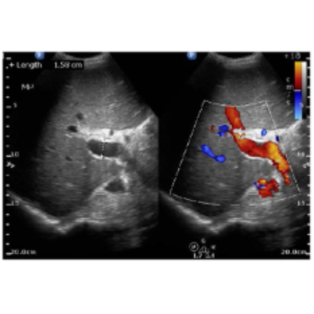
El daño hepático es actualmente la causa más frecuente de hipertensión portal, en un DHC con hipertensión portal podremos encontrar diferentes hallazgos como:

  • Esplenomegalia y aparición de vasos colaterales.

  • Hipertensión portal (diámetro AP > 13 mm)

  • Velocidad de vena porta ≤ 16 cm/sg

Y en la medida que avanzan las complicaciones pueden presentarse:

  • Ascitis

  • Peritonitis bacteriana espontanea (PBE)

  • Encefalopatía hepática

  • Hemorragias variciales

  • Síndrome hepatorenal

  • Síndrome hepatopulmonar

  • Carcinoma hepatocelular

Figura 6: Aumento del diámetro de la porta.

Conclusión

La ecografía tiene un rol fundamental en el seguimiento de DHC, pero también en el diagnostico de la enfermedad, reconocer los signos ecográficos el DHC será útil para pesquisar incluso aquellos casos que no presentan un DHC avanzados.

Un ecografista entrenado podrá hacer un correcto seguimiento de la enferrmedad realizando un estudio acabado del hígado, lóbulo por lóbulo buscando la presencia de nódulos que pudiesen progresar a Hepatocarcinoma. Además de reconocer los signos de hipertensión portal que es la complicación mas frecuente de DHC.

Referencias

  • Egea Medel, N., Paraira Beser, M., Juanico Termes, I., Alejandro Gonzalez Tejada, J., Rosa Martí Domenech, M., & Pedrerol Perez, A. (2018). Hallazgos ecográficos en la cirrosis e hipertensión portal. Seram

  • REV ESP ENFERM DIG (Madrid). Vol. 103, N.° 5, pp. 227-231, 2011. Utilidad de la ultrasonografía en el diagnóstico de las enfermedades hepáticas difusas

  • De Franchesci Clara Ma, A., Andrea, R. M., Marta, M. H., Silvia, C. C., David, C. R., Isabel, Á. M. M., Iván, C. A., Enrique, M. B., De Franchesci Clara Ma, A., Andrea, R. M., Marta, M. H., Silvia, C. C., David, C. R., Isabel, Á. M. M., Iván, C. A., & Enrique, M. B. (s. f.). Hepatomegalia, polifagia e hipertransaminasemia. https://scielo.isciii.es/scielo.php?script=sci_arttext&pid=S1139-76322021000100016

  • Grau, A. S., López, I. V., Rodríguez, N. D., & Cabral, J. S. (2014). Ecografía hepática: lesiones focales y enfermedades difusas. Medicina de Familia SEMERGEN, 42(5), 307-314. https://doi.org/10.1016/j.semerg.2014.10.012

Anterior
Anterior

Daño Hepático Crónico: Hallazgos Ecográficos Importantes en Hepatopatía Crónica Parte II

Siguiente
Siguiente

Quiste de Inclusión Epidérmico y sus Características Ecográficas