Daño Hepático Crónico: Hallazgos Ecográficos Importantes en Hepatopatía Crónica Parte II



TM Matías Ramirez - TM Elizabeth Vidal

Objetivo

La hepatopatía crónica en Chile ha ido aumentando significativamente debido a factores como el consumo excesivo de alcohol, las infecciones crónicas por el virus de la hepatitis y la creciente incidencia de enfermedades metabólicas como la obesidad y la diabetes. Debido a este gran aumento es que es importante revisar las características ecográficas del daño hepático crónico (revisadas en poster parte I) y sus complicaciones principalmente Hipertensión portal, ya que estas impactan severamente la calidad de vida de nuestros pacientes. Reconocer hallazgos específicos de hipertensión portal y sus complicaciones es fundamental para el seguimiento de pacientes con daño hepático crónico.

Clasificación Hipertensión Portal

Figura 1: Clasificación de HP según ubicación.

Hallazgos Ecográficos de Hipertensión Portal

Ascitis

Es un signo inespecífico de hipertensión portal, su presencia es un signo de complicación de HP, sin embargo su ausencia no descarta HP. La ecografía es una técnica útil para descartar o confirmar su presencia, en las regiones donde frecuentemente se aloja es en el espacio de Morrison, peri hepático (figura 2), saco de Douglas, entre las asas intestinales, fosas iliacas etc.

Figura 2: Paciente con Cirrosis presenta liquido peri hepático

Esplenomegalia

Se define como esplenomegalia un diámetro del bazo superior a 13 cm, es un hallazgos altamente sensible pero con poca especificidad, ya que existen otras patologías que cursan con aumento de diámetro del bazo.


Diámetro de la Vena Porta

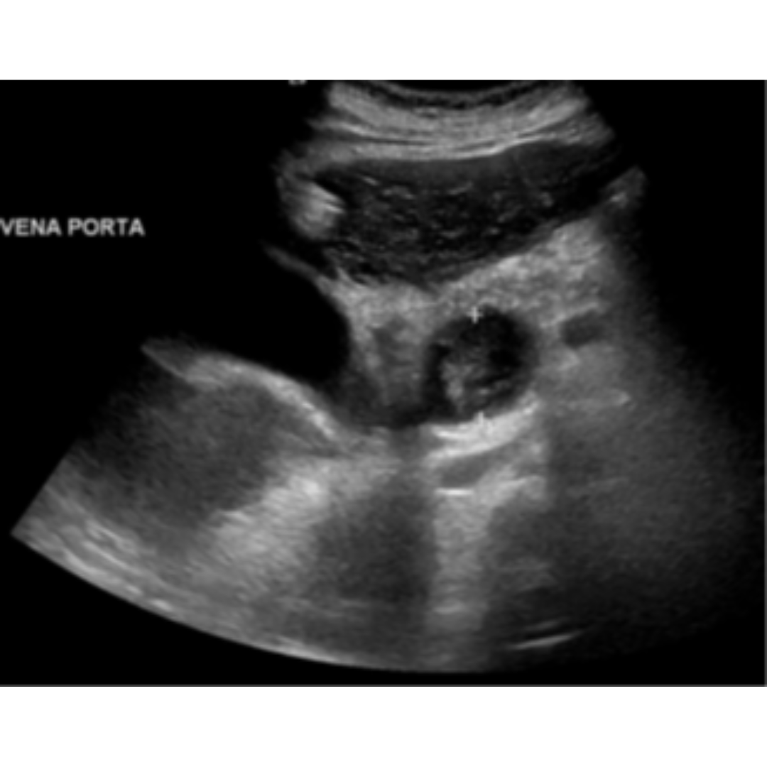
Se considera alterada partir de los 13 mm, la medición debe realizarse con el transductor en la región epigástrica o subxifoidea, con una leve inspiración para ver la vena porta posterior al lóbulo izquierdo. Si bien es un dato importante puede verse afectado por la posición del paciente, la respiración, el ayuno, otras causas como el flujo hepatofugo o la colateralidad portosistémica. Cuando esta se encuentre muy distendida es importante buscar posible trombosis asociada (figura 3 y 4).

Figura 3: Vena porta de tamaño aumento con diámetro de 18 mm.

Figura 4: Vena porta dilatada en su segmento extrahepático 2,5 cm con material hipoecogénico, compatible con trombosis que se prolonga craneal a la mesentérica superior


Disminución de la Velocidad Portal

La velocidad portal normal es 15 a 18 cm/s, con el desarrollo de la HP la velocidad disminuye bajo 15 cm/s (figura 7). Las velocidades se verán alteradas por el tipo de colaterales que tenga el paciente. La velocidad media se puede ver aumentada solo en pacientes que presentan recanalización de la vena para umbilical (figura 5-6) y disminuida en pacientes con colaterales espleno-renales (2).

Figura 5-6: Vena porta con flujo hepatopeto, con un estudio espectral con velocidad encima de 25 cm/s, figura 5 paciente con recanalización de vena paraumbilical en paciente con HP severa.

Figura 7: Vena porta con flujo hepatopeto, con velocidad disminuida menor a 15 cm/s

Inversión del Flujo Portal

A través de un abordaje intercostal debemos interrogar el flujo portal, cuando el flujo se encuentra ingresando al hígado recibe el nombre de hepatopeto (hallazgo normal), por el contrario cuando el flujo se encuentra saliendo del hígado recibe el nombre de hepatofugo (patológico). En un flujo hepatofugo encontramos al Doppler color un flujo alejándose del transductor (figura 8), podemos usar de referencia la vena cava (siempre debe ser contrario a vena porta) y se debe caracterizar en color azul, al Doppler espectral el flujo portal se ubicará bajo la curva y se observará con pérdida de la fasicidad habitual dada por respiración y movimiento cardiaco. En algunos pacientes con cirrosis puede existir un vaivén entre estos 2 tipos de flujo.

Figura 8: Vena porta principal permeable con flujo hepatofugo con velocidad por debajo de la línea base.

Cambios en Venas y Arterias Hepáticas

En las venas intrahepáticas al estudio espectral se visualiza un cambio de su morfológica típica trifásica, existe un aplanamiento o incluso morfología pseudoportal viéndose un flujo de aspecto bifásico por consecuencia de la estenosis que generan los nódulos de regeneración (figura 9).

Figura 9: A. Aplanamiento de la onda de la vena hepática media con pérdida del flujo trifásico a flujo bifásico. Flujo trifásico normal de venas suprahepática.

Colaterales Portosistémicas

Las colaterales portosistémicas son el signo más categórico de HP, se producen por un mecanismo complejo que implica apertura, dilatación e hipertrofia de canales vasculares preexistentes para descomprimir el sistema portal. Las anastomosis porto-cava ocurren en las localizaciones indicadas en la figura 10.

Figura 10 : Localizaciones comunes de anastomosis porto-cava

Figura 12: Permeabilización de vena para umbilical con flujo hepatofugo y pico de velocidad de hasta 20 cm/s. Estas venas con flujo hepatofugo alto evitan el desarrollo de varices esofágicas.

Figura 11: Unión gastroesofágica: ecográficamente se tiene que buscar una vena gástrica izquierda dilatada visible entre la pared anterior del estómago y la superficie posterior del lóbulo hepático izquierdo.

Estas varices tienen alto riesgo de generar hemorragia digestiva alta.

Figura 13: Varices de la pared abdominal, se tratan de venas subcutáneas dilatada que se extienden por la pared abdominal anterior, viéndose morfológicamente con el “signo de la medusa”. En la imagen se visualiza entramado vascular en epiplón mayor a la pared abdominal anterior. En corte sagital se visualiza derivación de la porta izquierda y se extiende al abdomen, teniendo correlación con la colateralidad para umbilical.(2)

Shunt Espleno Renal

Ecográficamente se visualiza una gran cantidad de varices en hilio esplénico, sin visualización clara de la derivación.

Figura 14: Corte longitudinal ecografía con Doppler color, que demuestra la presencia de grandes y tortuosos (flecha) vasos entre el Riñón izquierdo (RI) y bazo, sugerente de shunt Espleno renal.

Síndrome Hepatorrenal (SHR)

Este síndrome es una forma de insuficiencia renal funcional sin patología renal de base que ocurre aproximadamente en el 10% de los pacientes con cirrosis avanzada. Esta aparece como consecuencia de una intensa vasoconstricción de la circulación renal secundaria a la disfunción circulatoria sistémica. El diagnóstico del SHR requiere un valor de creatinina menor a 1,5 mg/dl con una Tasa de filtrado glomerular <30 ml/Min/1,73 m2.

A nivel ecográfico en modo B no observan alteraciones en el riñón, sin embargo en el estudio espectral esperamos ver índices de resistencia (IR) elevados por sobre 0.7 como consecuencia de la vasoconstricción (figura 15).

Figura 15: Ecografía renal de paciente con Cirrosis y SHR con IR elevado arteria interlobar derecha. (3)

Figura 16: Evaluación del flujo venoso renal en presencia de congestión. En condiciones normales el flujo es continuo y puede observarse por debajo, con una línea azul, A medida que hay mayor congestión sistémica se vuelve bifásico o monofásico. (4)

Cavernomatosis Portal

Es una enfermedad poco frecuente causada por trombosis en la vena porta que puede darse por invasión tumoral (hepatocarcinoma), por cirrosis avanzada donde el flujo hepático se ve severamente disminuido hasta trombosarse.

En estos casos se desarrolla una circulación colateral alrededor de una porta con calibre reducido y tromobosada, pudiéndose ver a nivel intra como extrahepático (figura 17 y 18 ).

Figura 17: Transformación portal cavernosa, se observan en modo B múltiples vasos serpiginosas libres de eco que reemplazan a la vena porta en hilio hepático, viéndose presencia de flujo venoso dentro de los cavernosas. (5)

Figura 18: Ramas venosas sinuosas en hilio hepático, con porta trombosada. Doppler color identifica flujo dentro de los vasos.

Encefalopatía Hepática

La encefalopatía portosistémica es una complicación grave de la hepatopatía crónica y se define en términos generales como una alteración en estado mental y cognitivo. Las neurotoxinas derivadas del intestino que no son eliminadas en hígado llegan al encéfalo generando los síntomas. Es típico observar incremento de las concentraciones de amoniaco, aunque no es un valor indicativo de la enfermedad, además se puede generar edema cerebral.

Conclusión

La encefalopatía portosistémica es una complicación grave de la hepatopatía crónica y se define en términos generales como una alteración en estado mental y cognitivo. Las neurotoxinas derivadas del intestino que no son eliminadas en hígado llegan al encéfalo generando los síntomas. Es típico observar incremento de las concentraciones de amoniaco, aunque no es un valor indicativo de la enfermedad, además se puede generar edema cerebral.

Referencias

  • Gómez, S. D. L., Castellano, S. E. R., & Balbuena, S. M. C. (2022, 26 mayo). Revisión de los hallazgos por imagen de la hipertensión portal. https://piper.espacio-seram.com/index.php/seram/article/view/8959

  • Gilabert, R., & Nicolau, C. (2003). Ecografía Doppler color en el diagnóstico de la hipertensión portal. Gastroenterología y Hepatología Continuada, 2(5), 216-220. https://www.elsevier.es/es-revista-gastroenterologia-hepatologia-continuada-8-pdf-70000139

  • Mogawer, M. S., Nassef, S. A. R., Elhamid, S. M. A., Elkholy, S., Aziz, N. E. A. E., Al-Jarhi, U. M., & Abdellatif, A. A. (2021b). Role of renal Duplex ultrasonography in evaluation of hepatorenal syndrome. Egyptian Liver Journal, 11(1). https://doi.org/10.1186/s43066-021-00104-9

  • Banegas-Deras, E. J., Mazón-Ruiz, J., Romero-González, G., Ruiz-Cobo, J. C., Sanz-García, C., Serrano-Soto, M., Sánchez, E., & Argaiz, E. R. (2024). Acute Kidney Injury and Point-of-Care Ultrasound in Liver Cirrhosis: Redefining Hepatorenal Syndrome. Clinical Kidney Journal, 17(5). https://doi.org/10.1093/ckj/sfae112

  • Cazacu, S. M., Alexandru, D. O., Dumitrescu, D., Vieru, A. M., Urhuț, M. C., & Săndulescu, L. D. (2024). Prevalence and Risk Factors for Portal Cavernoma in Adult Patients with Portal Vein Thrombosis. Diagnostics, 14(13), 1445. https://doi.org/10.3390/diagnostics14131445

Anterior
Anterior

Diagnósticos Diferenciales Ecográficos de Quistes Epidérmicos

Siguiente
Siguiente

Daño Hepático Crónico: Hallazgos Ecográficos Importantes en Hepatopatía Crónica Parte I