Hallazgos ecográficos esperables posterior a una tiroidectomía total por carcinoma tiroideo



TM Elizabeth Vidal Mansilla

Objetivo

La incidencia del Carcinoma Papilar (CAP) ha ido en aumento en nuestro país y con ello las tiroidectomías. La Asociación Americana de Tiroides (ATA) recomienda el seguimiento de pacientes tiroidectomizados con Ecografía y control de los niveles Tiroglobulina para pesquisar una recidiva.

Se realizó una revisión bibliográfica con el objetivo de conocer acabadamente los hallazgos ecográficos de un lecho tiroideo normal, el aspecto de los cambios post quirúrgicos tempranos, como aquellos de más larga data, algunas complicaciones post quirúrgicas y también revisaremos las características ecográficas de las lesiones sugerentes de una recidiva local, como una extensión ganglionar.

REVISIÓN ECOGRÁFICA

El tratamiento para pacientes con Carcinoma tiroideo es la tiroidectomía. Dependiendo del tratante y la extensión del carcinoma podemos encontrar pacientes con tiroidectomía total o parcial donde se extirpa un solo lóbulo, también dependerá de si existe extensión ganglionar, si se realizó un vaciamiento ganglionar y la magnitud de este. En algunos pacientes se extirpan paratiroides, sin embargo, la ATA sugiere evitar su extirpación.

El control con Ecografía posterior a tiroidectomía está recomendado por la ATA a los 6 y 12 meses, en conjunto con el chequeo de los niveles de Tiroglobulina. Un aumento en estos niveles podría hacer sospechar de recidiva, sin embargo, existen casos en los que se encuentra recidiva sin alteración de estos niveles.

Los controles muy precoces post tiroidectomía deben ser considerados para evaluar complicaciones post quirúrgicas, ya que el edema disminuye el rendimiento del examen para pesquisar recidiva.

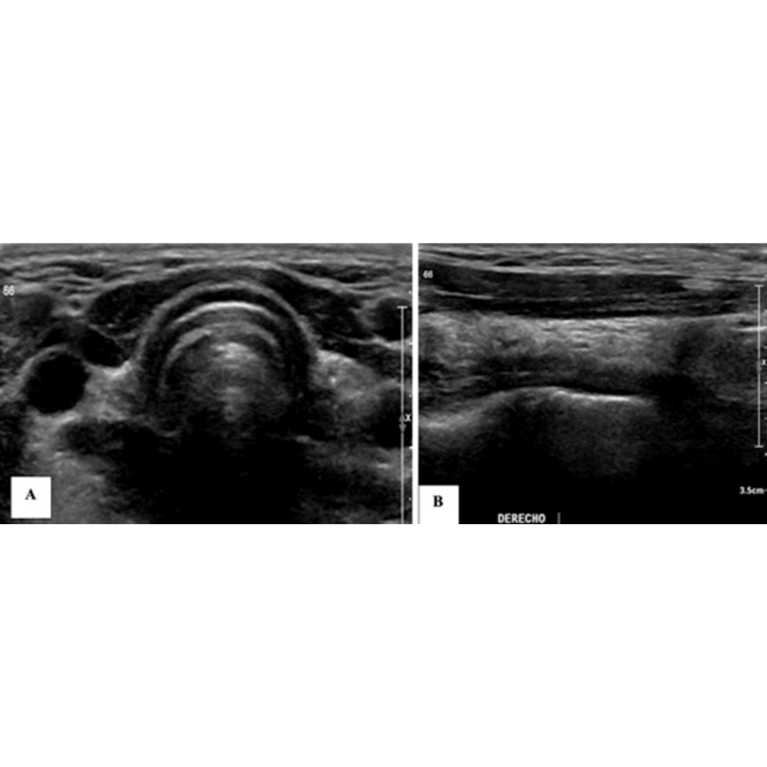
ASPECTO DEL LECHO TIROIDEO A 4 SEMANAS

Figura 1. Corte longitudinal del lecho tiroideo, cambios post quirúrgicos normales recientes en el lecho tiroideo donde se observa un aumento de ecogenicidad de hipodermis, engrosamiento dérmico, cambios a nivel profundo con dificultad para observar planos debido al edema.

ASPECTO DEL LECHO TIROIDEO A 12 SEMANAS

Figura 2. En un lecho tiroideo a los 12 meses post tiroidectomía, es esperable encontrar tejido fibroadiposo hiperecogénico ocupando el lecho glandular, que debe ser evaluado en cortes transversales y longitudinales. No debe

ser confundido con remanente glandular tiroideo.

HALLAZGOS ECOGRÁFICOS TEMPRANOS POST TIROIDECTOMÍA

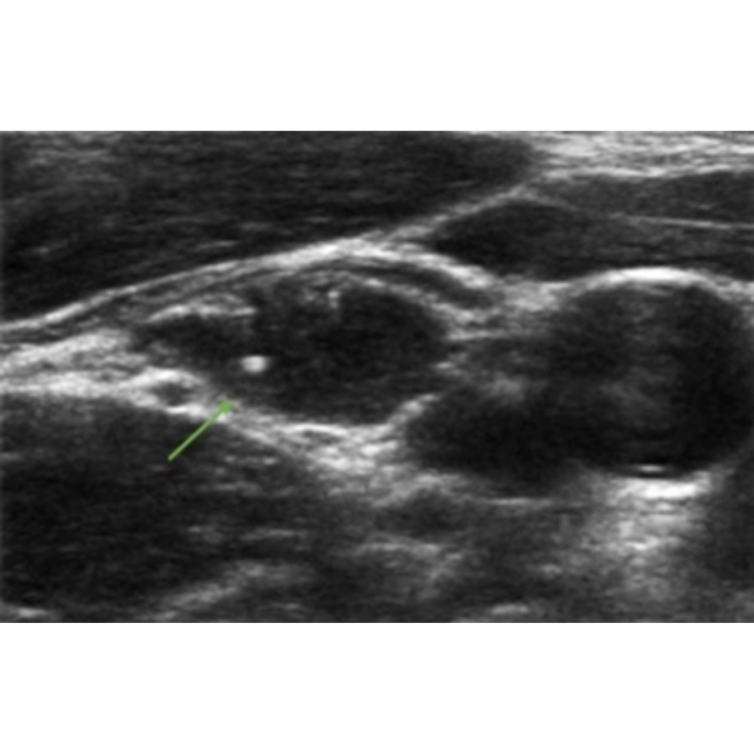
Linfoceles

Las linfoceles son acumulaciones quísticas linfáticas subcutáneas revestidas por un saco endotelial. Pueden surgir como una complicación por la disección de linfonodos cervicales, asociado a la tiroidectomía. Esta lesión puede tener una incidencia de 1-6%. Suelen controlarse bajo Ecografía hasta su completa desaparición espontánea.

Hallazgos ecográficos:

Se observa colección anecogénica, sin vascularización al Doppler, bien delimitada, con cápsula periférica, habitualmente ubicado entre segmentos cervicales III y IV.

Figura 3. Linfocele en compartimento cervical izquierdo.

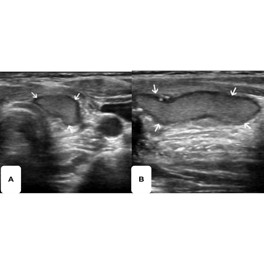
Hematoma

Habitualmente el hematoma postquirúrgico (figura 4) se observa cuando ha existido además de la tiroidectomía, una linfadenectomía en el contexto de un carcinoma de tiroides con metástasis ganglionar. Es un hallazgo que se podría encontrar las primeras semanas posterior a la cirugía.

Hallazgos ecográficos:

Colección con contenido hipoecogénico, de ecogenicidad variable dependiendo el tiempo desde la cirugía será la ecogenicidad, sin vascularización al Doppler color.

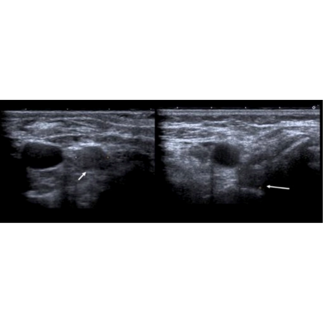
Figura 4. Hematoma post quirúrgico, por linfadenectomía izquierda, imagen (a) se observa corte longitudinal y en imagen (b) corte transversal a nivel del segmento cervical III.

Presencia de agentes hemostáticos en lecho tiroideo

En algunas tiroidectomías los cirujanos optan por usar agentes hemostáticos como Gelfoam (marca Pfizer), Gelita Hemospon o Surgispon, un material de esponja de gelatina indicado en procedimientos quirúrgicos como un auxiliar para la hemostasia, cuando el control del sangrado mediante procedimientos convencionales no es efectivo o resulta impracticable.

Un paciente que se realiza una ecografía dentro de las 6 semanas posteriores a la cirugía y luego de haber recibido esta esponja gelatinosa probablemente aún no se encuentre absorbida en su totalidad, y la observemos bajo Ecografía como una imagen hiperecogénica generando muchas veces imágenes similares a un remanente de tejido tiroideo, similares a un absceso o bien simular una recidiva local.

Conocer la historia clínica del paciente y la data de la cirugía son relevantes para diferenciarlos.

Hallazgos ecográficos esperables para diferenciar una esponja gelatinosa hemostática de un remanente tiroideo:

  • Imagen hiperecogénica homogénea

  • No vasculariza al Doppler

  • No presenta ecoestructura de parénquima similar a la glándula tiroidea. En caso de dudas siempre podemos usar de referencia las glándulas submandibulares para comparar el parénquima.

  • Se presenta sólo dentro de las primeras 6 semanas posteriores a la cirugía, éste antecedente es fundamental para su existencia.

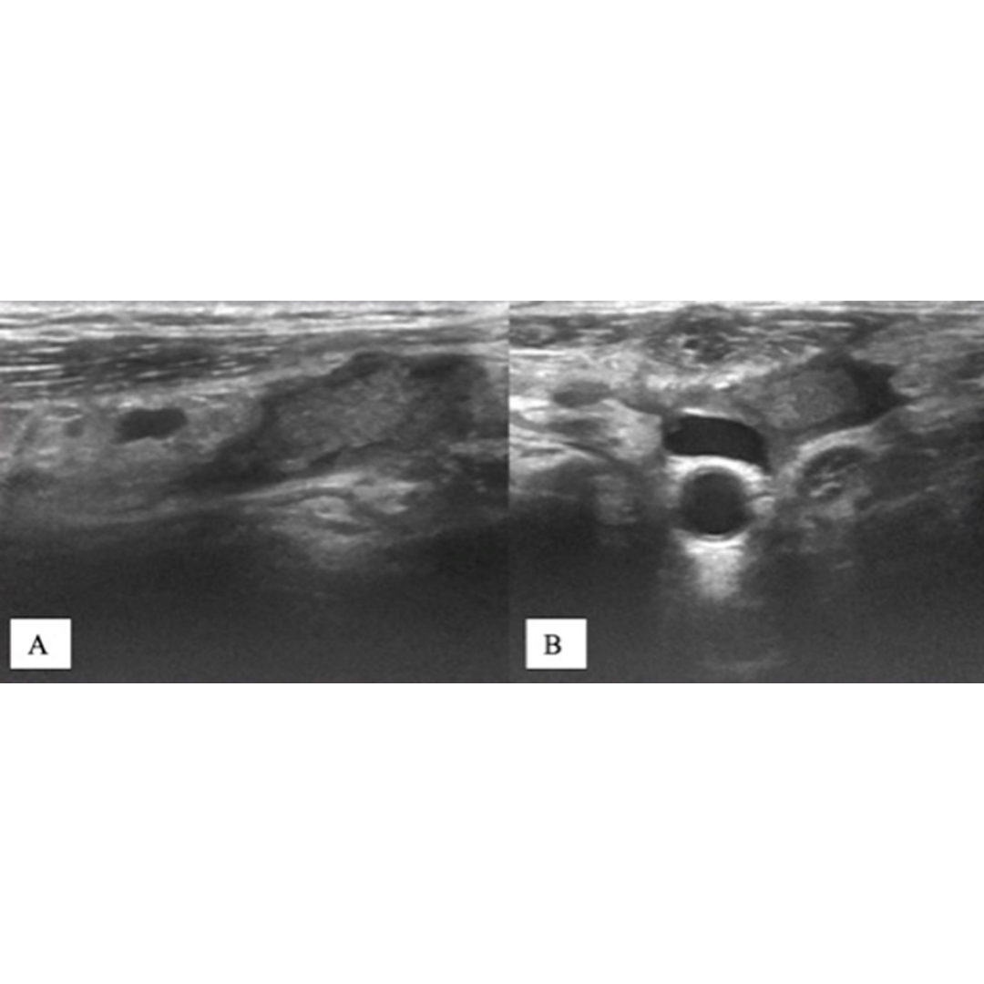
Figura 5. Ecografía transversal (A) y longitudinal (B) de una paciente de 33 años tras tiroidectomía y disección del compartimento central por CAP. Las Ecografías, obtenidas 21 días después de la cirugía, muestran un nódulo ecogénico alargado en el lecho de la lobectomía izquierda (flechas) simulando un remanente tiroideo. El nódulo ya no estaba presente en la ecografía de control realizada 14 meses después de la tiroidectomía, ya que la esponja gelatinosa Gelfoam se encontraba reabsorbida.

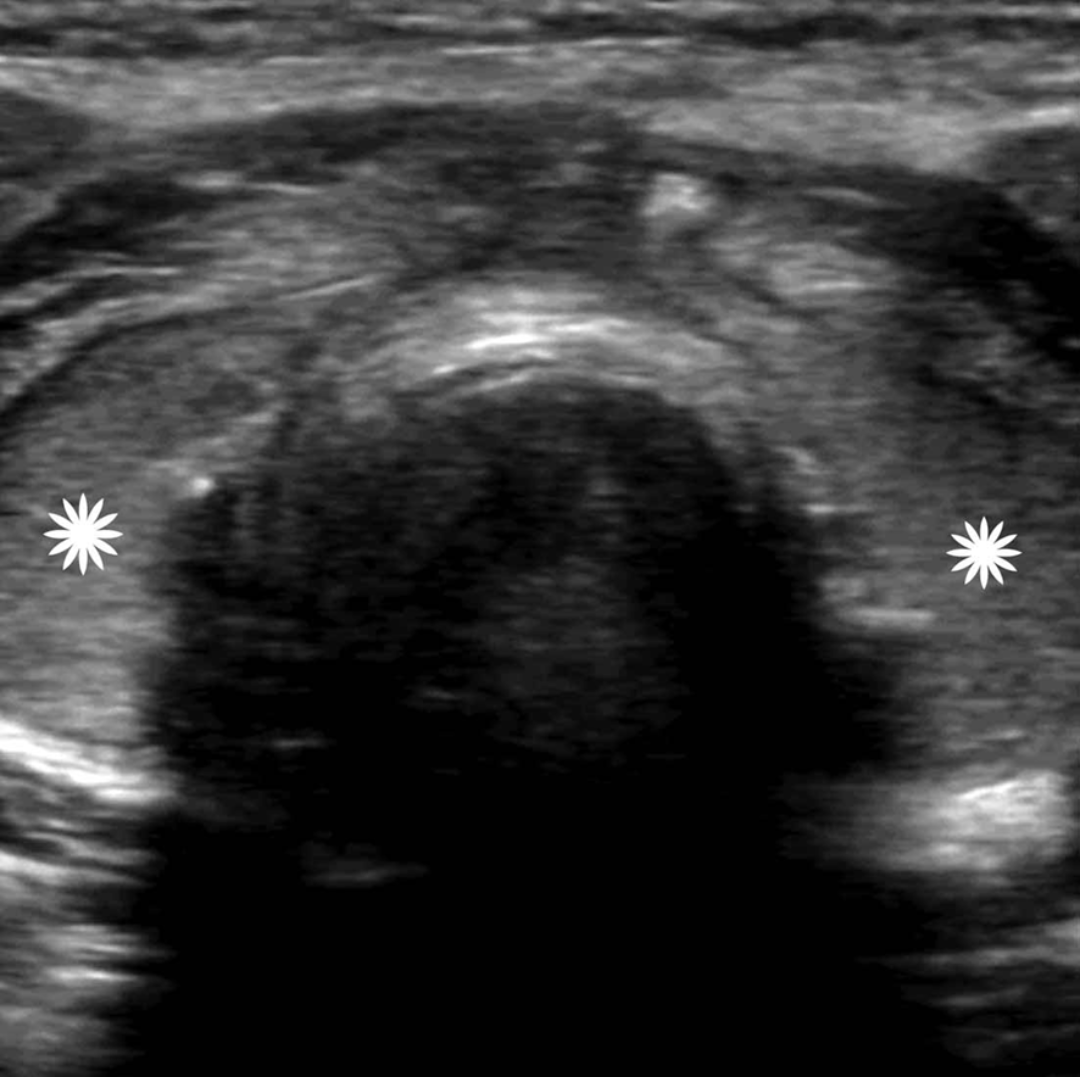
Figura 6. Ecografía transversal de una paciente de 36 años tras tiroidectomía y disección del compartimento central por CAP con punción con aguja fina no concluyente, pero con imagen positiva. La Ecografía, obtenida 25 días después de la cirugía, muestra imágenes ecogénicas uniformes en ambos lechos de tiroidectomía (asteriscos) sugerentes de presencia de agentes hemostáticos.

HALLAZGOS ECOGRÁFICOS TARDIOS POST TIROIDECTOMÍA

Se consideran tardíos aquellos hallazgos que se observan posterior a 12 meses de la tiroidectomía. Es importante considerar que no son hallazgos habituales, y el mayor rol de la Ecografía es pesquisar recidiva local y/o la presencia de ganglios metastásicos.

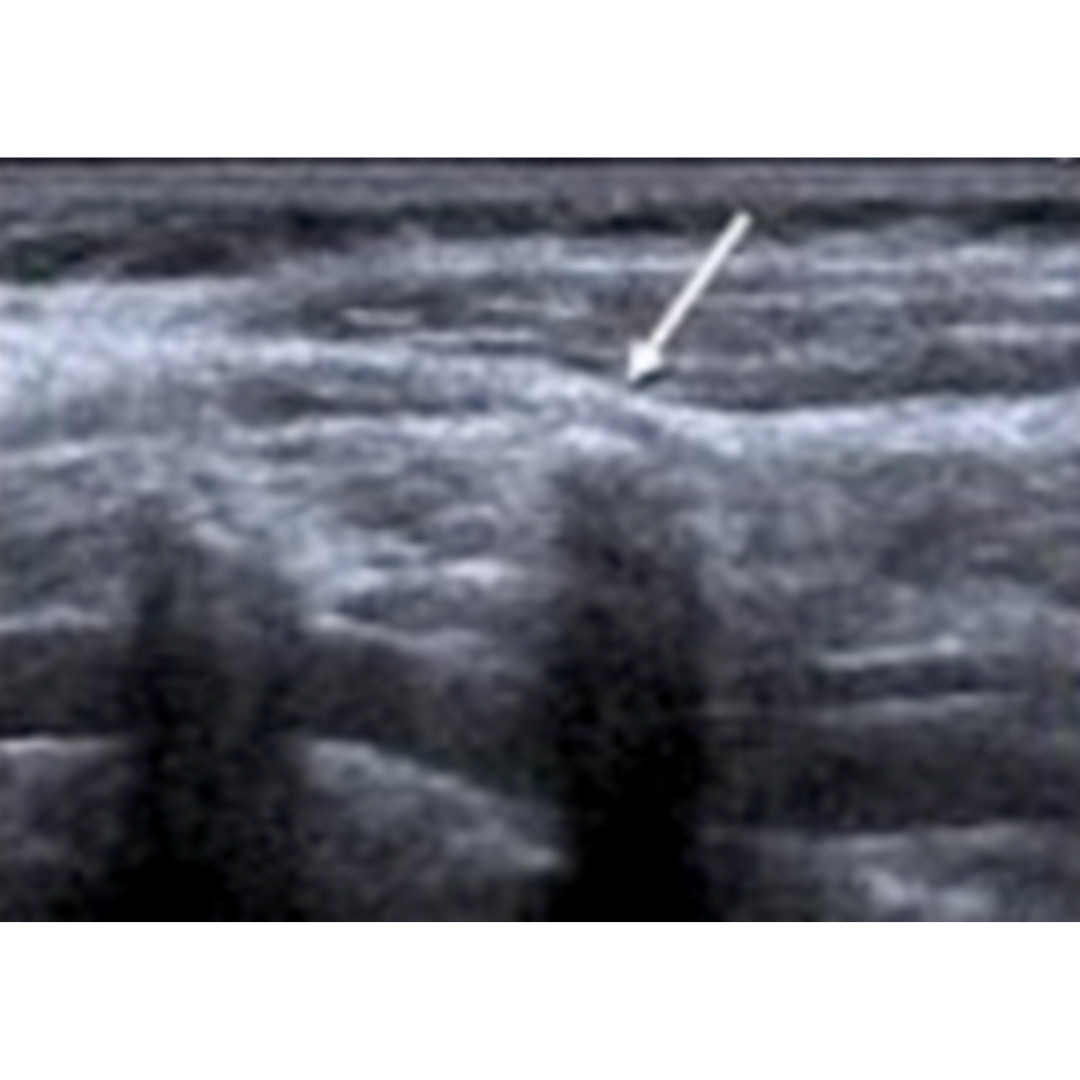
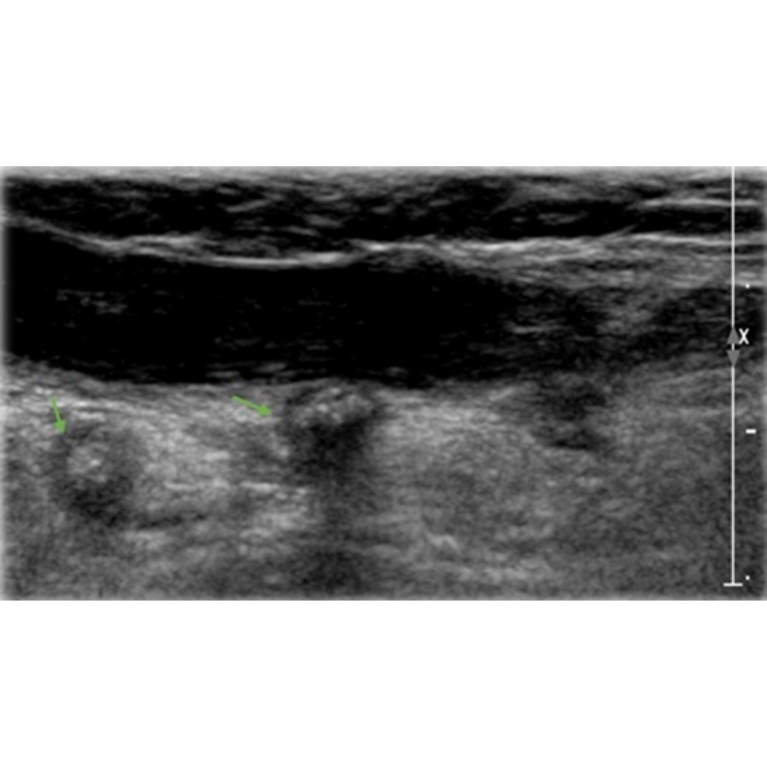
Granulomas

Los granulomas de sutura son lesiones inflamatorias benignas que pueden ocurrir en respuesta al material de sutura no absorbible, y se caracterizan patológicamente por una reacción al material extraño. Es importante diferenciarlos de procesos transversales prominentes de la columna cervical.

Hallazgos ecográficos:

  • Generalmente son pequeños, sólo excepcionalmente alcanzan más de 10 mm de diámetro.

  • Presenta imágenes hiperecogénicas en su espesor, frecuentemente múltiples, con sombra acústica posterior.

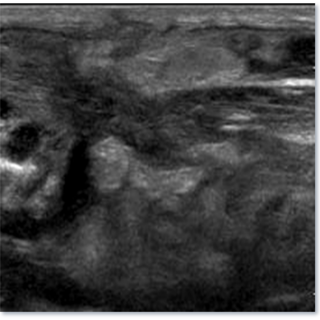
Figura 7. Flechas verdes indican granulomas, que se observan como imágenes hiperecogénicas con sombra acústica posterior y un tenue halo hipoecogénico.

Figura 8. Se muestra proceso transversal C7 agrandado (flecha) como una variante anatómica.

Aspecto terminal del conducto torácico
El conducto torácico es un vaso linfático que transporta linfa y grasas emulsionadas, drena la linfa de la mitad inferior del cuerpo y el tracto gastrointestinal hacia la vena yugular interna. Este conducto puede dilatarse y simular linfoadenopatías quísticas del compartimento lateral, la forma de diferenciarlos es buscando la unión del conducto torácico a la vena yugular interna. La dilatación de este conducto se puede observar en pacientes que tengan como antecedente clínico una linfadenectomía.

Hallazgos ecográficos:

Conducto torácico anecogénico similar a un quiste ovalado, se debe demostrar su unión a la vena yugular interna.

Figura 9. Conducto torácico. Ecografía de cuello corte longitudinal (a.) y transversal (b.) muestra una estructura quística (flecha) que se extiende y se comunica con la vena yugular interna cerca del ángulo venoso. Se observan ecos internos debido al flujo (flecha en b). (c) Se observan los conductos torácicos derecho e izquierdo, que se conectan con los sáculos yugulares de cada lado, respectivamente.

Recidiva local

Es la recurrencia del cáncer tiroideo en el lecho tiroideo, se observa como una lesión hipoecogénica, de contornos habitualmente irregulares, marcadamente vascularizado al Doppler color y que puede presentar calcificaciones en su espesor.

Figura 10. Ecografía de cuello cortes transversales, muestran un nódulo hipoecoico irregular de 9 mm en el lecho derecho de tiroidectomía.

Adenopatías metastásicas

La mayor frecuencia de ganglios afectados está descrita en los segmentos III, IV y VI respectivamente, sin embargo, siempre debemos realizar un estudio acucioso de los segmentos cervicales, ya que en algunos casos se observa que no cumplen con este orden, saltándose a otros segmentos.

Es importante tener en cuenta como se observa una adenopatía metastásica por un Carcinoma Papilar, los hallazgos esperables están descritos en la tabla 1.

Tabla 1 Hallazgos ecográficos en adenopatías metastásicas

Figura 11. Ecografía de cuello en corte axial muestra características de los ganglios metastásicos. (a.) Ganglio linfático quístico con focos internos ecogénicos (flecha) que representan microcalcificaciones. No olvidar que la sombra del proceso transversal de la columna cervical (*), no debe confundirse con una calcificación de metástasis. (b.) Ganglio linfático hipoecogénico sin hilio graso.

Figura 12. Ganglio con pérdida de su hilio, con presencia de microcalcificaciones (flecha).

Remanentes Tiroideos

Son restos de tejido tiroideo que pueden observarse posterior a una tiroidectomía total en el lecho. Habitualmente se observarán con las mismas características de la glándula tiroidea que presentaba el paciente previo a su cirugía, es decir, es esperable que si un paciente tiene una tiroiditis marcada, el remanente también la tenga. También es esperable observar un remanente heterogéneo y disminuido de ecogenicidad en pacientes que recibieron una dosis de radioyodo.

Figura 13: Tejido remanente en corte longitudinal, se observa homogéneo hiperecogénico con aspecto de glándula tiroides.

Conclusión

El conocimiento de los hallazgos ecográficos y la historia clínica del paciente serán importantes para realizar un correcto seguimiento del paciente tiroidectomizado, considerando aquellos hallazgos normales o esperables post quirúrgicos, así como saber diferenciar las complicaciones tempranas y cambios tardíos de la glándula, como son los granulomas. Reconocer el rol que tiene la ecografía cervical en estos pacientes para pesquisar recidiva local o extensión ganglionar es relevante para realizar un examen acucioso, en búsqueda de ganglios metastásicos.

Referencias

  • Bronwyn E. Hamilton, Gary M. Nesbit, Neil Gross, Peter Andersen, David Sauer, and H. Ric Harnsberger “Characteristic Imaging Findings in Lymphoceles of the Head and Neck” American Journal of RoentgenologyVolume 197, Issue 6 December 2011-

  • Cuenca, J. H. A., García, D. M. A. H., Bermejo, J. M. S., Robles, C. R., Valentín, D. M. P. N., & Argüelles, D. C. F. (2021, 18 mayo). Ecografía de cuello de seguimiento después de la tiroidectomía para el carcinoma diferenciado de tiroides. https://piper.espacio-seram.com/index.php/seram/article/view/4689

  • Cesar/Br, U. R. M. M. M. C. C. M. R. T. R. D. G. F. M. J. A. D. L. B. M. T. S. A. P. K. L. <. <. P. <. P.-. S. S. <. P. S. P. <. (2014, 6 marzo). Cervical Level IV has major incidence of Lymph nodes Metastases after thyroid cancer? ECR 2014 EPOS. https://epos.myesr.org/poster/esr/ecr2014/C-0422/Aims%20and%20objectives#poster

  • Lisbon/PT, U. V. (2015, 4 marzo). Central role of US in imaging evaluation of patients submitted to total thyroidectomy for cancer disease. ECR 2015 EPOS. https://epos.myesr.org/poster/esr/ecr2015/C-1716

  • Miah CF, Zaman JA, Simon M, Davidov T, Trooskin SZ. The utility of lymph node mapping sonogram and thyroglobulin surveillance in post thyroidectomy papillary thyroid cancer patients. Surgery. 2014;156(6):1491-7.

  • Qureishi A, Silva P, Lamyman A, Cox G. Cervical lymphocoele: a simple solution for a complicated problem. Ann R Coll Surg Engl. 2012 Mar;94(2):e79-80. doi: 10.1308/003588412X13171221500826. PMID: 22391360; PMCID: PMC5827239.

  • Peña, E., & Zuñiga, A. (s. f.). Una variación anatómica: la desembocadura aberrante del conducto torácico. http://www.scielo.org.co/scielo.php?script=sci_arttext&pid=S0120-41572009000200005

Siguiente
Siguiente

Diagnósticos Diferenciales Ecográficos de Quistes Epidérmicos